登陆中国,首款16cm光谱成像、超高清宽体CT国产上市
从早期只能“一层层扫描”的单排 CT,到后来常规应用的16排、64排,再到如今的320排宽体超高端CT、双源超高端CT,甚至近两年大火的光子计数CT(PCCT),CT技术的发展演进已经超乎想象。影像设备越做越强,但临床一线却长期面对一个真实矛盾——
医生对精准影像的需求不断提升,而传统设备在复杂条件下难以兼顾清晰度、剂量与稳定性。
在实际诊疗中,不论是冠脉CTA、肿瘤检查,还是儿童低剂量扫描,医生都越来越依赖更细的结构、更清晰的对比、更稳定的图像。然而,传统探测器(EID)已经接近物理极限,进一步提升分辨率往往意味着更高噪声、更高剂量,甚至成像不稳定。PCCT虽引领技术前沿,但高成本、高算力、高操作门槛,让它短期内难以在各级医院普及。那么,在PCCT广泛可及,普遍适用之前,有没有一种CT,既能实现接近光子计数级别的清晰度,又能真正做到在每一家医院、每一个场景都稳定适用?
近日,获得国家药品监督管理局(NMPA)认证并正式国产上市的 Aquilion ONE / INSIGHT Edition(INSIGHT Pioneer),正在打破“宽度与精度”、“精度与效率”、“效率与稳定”之间的长久失衡,这一设备由世界宽体CT开创者佳能医疗推出。

佳能医疗在2007年推出全球首款16cm宽体探测器CT,为心、脑两个部位的精准成像带来了革命性技术,也为宽体CT技术路线奠定了行业基础。此次推出的INSIGHT Pioneer则在这一架构上进一步突破了物理极限。依托基于超高分辨率CT数据训练的深度学习重建技术(PIQE),系统在16cm宽覆盖下实现了接近微米级的细节呈现。值得一提的是,这一设备与佳能医疗光子计数CT使用同源的超大规模训练数据集(百万级4K图像),这让原本属于UHR-CT和PCCT的微米级细节能力,以更可控、更易用的方式走进普通科室的日常检查场景。该设备推出后,已获得美国 Aunt Minnie“年度最佳新放射学设备奖”与德国“iF设计奖”等国际认可。

业内首款16cm光谱成像CT
一次心跳完成心脏光谱成像
在宽体CT技术路线上持续探索,INSIGHT Pioneer在业内率先实现了16cm全覆盖的光谱成像,进一步拓宽了传统CT的应用范围,对于一些临床难诊疾病,如心血管、肿瘤、卒中等,将大幅提升诊断的精度和效率。
随着心血管疾病高发,冠脉CT已成为重要检查手段。然而,对于心率较快、节律不稳定或需要综合评估的患者,传统成像往往需要多次扫描才能完成形态与功能判断。ONE-Beat单心动周期光谱成像使检查流程更清晰,信息更集中,在一次扫描内即可同时获得冠状动脉、心肌、瓣膜的形态、功能及运动信息,充分满足临床精准诊断的需求。业内专家表示,随着多参数合一的影像模式逐步落地,心脏CT有望从单纯的血管检查,转向更加系统的心脏疾病评估,在胸痛中心建设、急诊决策及复杂心脏病管理等领域展现新的应用价值。

一直以来,光谱成像被视为高端功能,但在实际工作中往往因触发条件复杂、操作流程差异大、覆盖范围有限等原因未能充分发挥价值。16cm宽体探测器以及基于人工智能的自动化工作流,突破了这些限制,可以在一次扫描中就能获取完整器官的连续光谱数据,使光谱检查更符合日常CT操作习惯,便于在常规诊疗中应用。
“宽覆盖 +超高清”
提升冠脉支架及微小结构可视化能力
冠状动脉支架主要用于治疗冠心病,随着我国心血管疾病高发,支架植入已经成为最常见的治疗手段之一。但随之而来的是术后支架内再狭窄、支架内血栓、钙化加重等风险如何准确监测的临床难题。支架术后影像评估一直以来是CT最具有挑战的场景,囿于空间分辨率不足、金属伪影等因素,传统CT在显示小于5mm的支架时,边缘容易模糊、内腔结构不连续、钙化旁软斑块被晕状伪影掩盖。在支架数量多、支架细、钙化重或心率不稳的患者中,这些问题更加突出。这不仅影响术后随访,更关系到是否能准确识别危险变化,及时干预。
INSIGHT Pioneer利用PIQE技术,首次实现了“16cm宽覆盖 +超高分辨率”在同一CT系统上兼得。它能显著锐化支架轮廓,有效抑制金属伪影与硬化伪影。即便在多枚支架重叠、支架内径细小、严重钙化或心率波动的复杂病例中,依然能清晰显示支架内腔通畅情况及贴壁斑块性质。这意味着,医生在手术规划、介入治疗和术后随访中,都能更可靠地依赖CT来确认结构变化。日本仙台厚生医院心血管内科主任医师Shitaro Honda在实际应用中反馈:“PIQE使直径2.25mm的细小支架也能清晰呈现,能更清晰地显示血管。”

(左图为常规图像,右图为应用PIQE技术后的超高清图像)
不仅如此,16cm单器官覆盖结合0.24s单圈机架旋转速度,突破了传统心脏扫查对特殊人群的限制,让心率不齐、高心率、老年患者和房颤病人以及儿童也能轻松完成扫查,并在降低剂量的同时,保障图像质量。
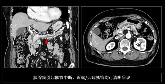
胰腺癌被称为“癌中之王”,早期病灶往往呈现等密度,且解剖位置深,极易漏诊。传统 CT 因软组织对比度与分辨率的相互制约,难以捕捉胰管的微小截断或局限性狭窄。依托 PIQE的高空间分辨率与低噪声特性,INSIGHT Pioneer 能够捕捉到胰腺实质的细微纹理改变及胰管的早期形态学变化。在一位早期胰腺癌患者的影像(下图)中,胰管出现细微中断,且上下游胰管呈现连续而清晰的形态,基于这一隐匿性病变的识别,临床在进一步检查中将其证实为早期胰腺癌。这样的胰管变化,在传统 CT上几乎不可能这么清楚。

扫描更快、流程更轻
为高通量繁忙医院减负
在大部分医院,CT扫描不仅要看得清,更要扫得稳、扫得快。现实中,繁忙的急诊夜班、技师经验差异、患者无法配合等因素,常造成扫描定位不准、重复扫描与工作流负担。
INSIGHT Pioneer内置的INSTINX迅捷平台,通过仿生天眼AI定位(3D Landmark)实现亚毫米级自动定位,可将操作流程精简约40%;同时,AI协议匹配系统基于十万级临床数据训练,能自动为不同体型、部位和条件的患者匹配最佳参数,使图像稳定性不再依赖技师经验,参数准确率达97%。在日本白寿寺医院的应用中,放射技术科主任Hiroyuki Yamaguchi认为,借由3D Landmark对解剖标识的自动识别,系统能够自动规划扫描参数,使“任何技师都能轻松获得稳定一致的成像结果”。
INSIGHT的推出,为临床重点疾病领域带来了新的解法,也让一些过去被应用于科研探索的先进技术实现了临床常规化应用,以更加经济、高效的方式助力临床医疗的发展。据了解,INSIGHT 已在大连大学附属中山医院投入使用,并开展多项临床试验。近期,北京协和医院也完成了该型号的装机,更多临床应用场景正在展开。










